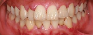
पाईरिया दांतों के मुसुड़ो में होने वाली एक बीमारी है, जो दांतों की सफाई अच्छे से नहीं होने की वजह से होती है ,इसके होने की मुख्या वजह कैल्शियम की कमी, मसुडो का सड़ना और दांतों को गन्दा रखना है ,इस रोग में कई तरह की समस्या होती है जैसे की सांसो से बदबू आना ,मुसुड़ो में खून आना, दांतों का पीलापन ,मुह में सुजन आदि .

पाईरिया दांतों के आसपास की मांसपेशियोंको संक्रमित करके उन्हें नुक्सान पहुचाती है ,यदि व्यक्ति को पाईरिया की समस्या होती है तो ठंडी के दिनो में उन्हें पानी पिने में परेशानी होती है .
- कड़वा नीम फायेदेमंद
नीम की पत्तियों को अच्छे से धो कर छाँव में सुखा लीजिये और फिर उसे एक बर्तन में लेकर जला ले .जब पत्तिया पूरी तरह से जल जाये तो उसके उपर बर्तन से ढक दे . कुछ देर बाद नीम की बनी हुई राख में सेंधा नमक डालकर चूरन बना कर रख ले . इस चूरन से रोजाना दिन में 3 से 4 बार मंजन करके अच्छे से कुल्ला कर ले .
- नमक
पुराने ज़माने में लोग खाना खाने के बाद लोग नमक से मंजन करते थे पाईरिया जैसी बीमारी से भी निजात पाने के लिए इस का प्रयोग ज्यदा करना चाहिए, जिस से की दांत मजबूत भी रहेंगे और स्वस्थ भी .
- अमरुद दे दांतों को मजबूती
अमरुद में विटामिन c भरपूर मात्रा में होता है ,इसीलिए कच्चे अमरुद में थोडा सा नमक डालकर कर दांतों पर रगड़े पाईरिया की समस्या बहुत जल्दी दूर हो जाएगी .
- प्याज भी है फायेदेमंद
- आमला का भी सेवन फायेदेमंद









